钱江晚报·小时新闻 通讯员 张玥洁 采访人员 何丽娜
结核病是我国常见的传染性疾病 , WHO发布最新全球结核病年度报告 , 中国新发患者数约占全球的8.4% , 约83.3万 , 居全球第三位 。 而结核病的罪魁祸首 , 就是“结核杆菌” 。
结核杆菌不仅能导致肺结核、结核性胸膜炎、淋巴结结核 , 还可能引起心包结核 。 患者一旦感染心包结核 , 会导致心脏功能受损 , 出现明显的胸闷气促、下肢水肿、乏力纳差、低热盗汗等症状 , 严重者甚至会威胁生命 。
上周 , 50多岁张大妈自台州赶到浙江大学附属杭州市胸科医院的浙江省结核病诊疗中心就诊 , 当时她已接受抗结核治疗2个多月了 。
文章插图
接诊的结核外科钟方明医师表示 , 由于张大妈原本就患有糖尿病、肾病等疾病 , 基础体质偏差 , 再加上患了结核性心包炎 , 来就诊时走两步就气喘吁吁 , 脸部及下肢的水肿都十分明显 , 轻轻一按就是一个“坑” 。
文章插图
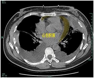
除了缩窄性心包炎的症状明显 , 中心静脉压测量结果同样显示张大妈的静脉压力很高 。 钟方明认为 , 她需要尽早手术 , 解除心脏压力 。
【心脏|脚上一按一个坑!五旬大妈心上长了层“铠甲”,看医生如何化险为夷】人体的心脏好比一个“发动机” , 将充满养分的动脉血泵及全身 。 心包膜就是覆盖在心脏表面的一层“轻纱” 。 钟方明解释:这层“轻纱”会在结核菌的影响下出现发炎 , 并逐渐有炎症渗出 , 变成一件注水的“棉袄” 。 时间越久 , 积液沉积越久 , 这件“棉袄”就会变硬 , 成了“铠甲” , 紧紧地束缚着心脏 , 使心脏的搏动受限 。
文章插图
经过充分的术前准备及手术评估后 , 张大妈接受了手正中切口的心包剥脱术 。
手术过程中 , 钟方明医师发现张大妈的心包增厚情况很明显 , 最厚处达到了10mm , 心脏跳动受限明显 。 钟医师仔细剥离出了增厚心包 , 并保护着剥离过程中可能损伤的心脏 。 手术过程十分顺利 。 手术一周后 , 张大妈就顺利恢复出院了 。
文章插图
“引起心包缩窄最常见的疾病是结核性、化脓性心包炎 , 临床上很容易误诊 。 ”结核外科主任叶波说 , 因为心包炎的常见症状是胸闷、疲乏、气短、尿少、腹胀、食欲减退、腹水、全身水肿、呼吸困难等 , 容易与心脏病、肝硬化或者心肌疾病混淆 。
叶波强调 , 结核性心包炎同肺结核一样 , 一经确诊 , 就需要尽早进行联合、规律、适量、全程的抗结核治疗 。 对于张大妈这样的糖尿病患者 , 还需要控制血糖 , 规律作息 , 采用高蛋白饮食增强营养 , 帮助患者尽早恢复 。
本文为钱江晚报原创作品 , 未经许可 , 禁止转载、复制、摘编、改写及进行网络传播等一切作品版权使用行为 , 否则本报将循司法途径追究侵权人的法律责任 。
- 心电图|【科普】心电图上的窦性心律不齐是心脏病吗?
- 产科|她心脏移植10年后圆了“妈妈梦”
- 关节炎|几个小技巧 关爱我们的“第二心脏”
- 心脏|女子心脏“破洞” 上海专家不开胸“修补”
- 心脏功能|腿部臃肿可能是这些原因引起
- 主动脉|上海专家针刺麻醉为患者微创修补心脏“破洞”
- 胸口疼|胸口疼是不是心脏病?医生提醒:这些病都会胸口痛
- 心脏|河源有位罕见“镜像人”!心脏长反还乱跳,手术要反着做
- 心脏|心脏不好,全身受罪!82岁老中医常吃它,补心气、护心脉,边吃边养生!
- 刘女士|广州医生手绘5张精美手术图,独创术式治好先天性心脏病
