病例挑战:20 岁男性,癫痫后记忆缺失
傻大方提示您本文标题是:《病例挑战:20 岁男性,癫痫后记忆缺失》。来源是丁香园。
病例挑战:20 岁男性,癫痫后记忆缺失。癫痫|挑战|影像学|记忆缺失|男性---
1.病例介绍
病史:20 岁男性,既往有癫痫病史,最近一次癫痫发作控制后,出现暂时性呼吸暂停和远期记忆障碍。
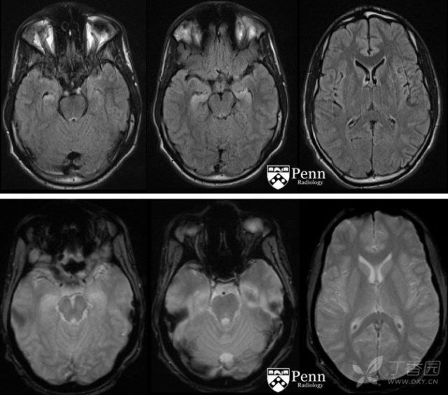
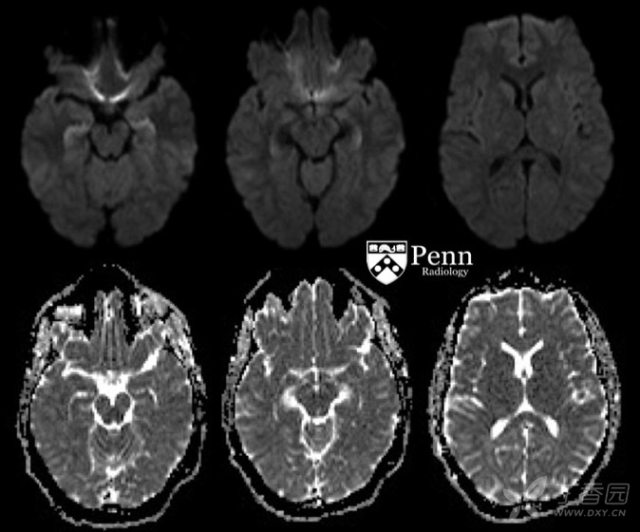
为了明确诊断,对患者进行了头颅 MRI 检查。颅脑轴位 T2-FLAIR、DWI、ADC 及 GRE MR 图像如下:
癫痫|挑战|影像学|记忆缺失|男性---傻大方小编总结的关键词

癫痫|挑战|影像学|记忆缺失|男性---傻大方小编总结的关键词

问题 1:患者有脑出血
A. 正确
B. 错误
问题 2:脑灰白质分界尚清
问题 3:患者有弥漫性脑水肿
问题 4:以下哪个深部灰质结构受累
A. 尾状核
B. 壳核
C. 丘脑
D. 海马
E. 以上所有
问题 5:最可能的诊断是
A. 缺氧缺血性脑病
B. 癫痫诱导性脑异常
C. 急性缺血性脑卒中
D. 一氧化碳中毒
2. 影像学表现
颅脑 MRI 显示双侧海马可见对称性 FLAIR 高信号及扩散受限。未见明显出血征象、占位效应或脑积水征象。未见明显特异性征象,可能是由于近期癫痫导致的。尽管缺氧缺血性脑病也可累及海马,但脑实质中无足够的证据支持缺氧缺血性脑病。
鉴别诊断需考虑:
3. 诊断
诊断:癫痫诱导性弥散受限(临床病史、影像学表现均不支持缺氧缺血性脑病)
4. 讨论:癫痫诱导性脑异常
(1)流行病学与病理
癫痫发作是极为常见的,约有 10% 的人在其一生中会发生癫痫性发作。颅脑影像学检查通常被用来寻找发生癫痫的原因,具有阳性表现的病因有皮质发育不良、灰质异位、内侧颞叶硬化和颅脑肿瘤。此外,在全身性强直一阵挛性发作或癫痫持续状态后早期,影像学可以显示由于癫痫发作所致脑异常。由于局部高代谢所引起的局部细胞功能紊乱,进而导致细胞内外水平衡改变,最终导致局灶性一过性细胞毒性和血管源性脑水肿或细胞水肿、有趣的是,这些变化通常是一过性或可逆性的。
(2)临床表现
患者通常会在癫痫持续状态、强直性痉挛发作或部分性癫痫出现。
(3)诊断
临床病史结合影像学表现能够进行诊断,但癫痫诱导性脑异常仍然是一个排除性诊断,因为有很多病因都可以出现相识的影像学表现。其他病因,如缺氧缺血性脑病、梗死、血管炎和脑炎。因此,需要基于临床和实验室指标进行排他性诊断。
(4)影像学特征
除非有明显的病变如颅内出血或占位性病变,CT 通常无异常发现。
大脑不同的区域都可受累,包括海马(最为常见,约为 50% 病例可见)、丘脑(多见于丘脑后结节区域)、基底节、大脑皮层、皮层下白质和胼胝体。
MRI 上,常见表现为在受累区域出现 T2/FLAIR 异常高信号,通常这些表现是可逆的。
在受累区域也有可能出现 DWI 高信号,有时合并 ADC 低信号,这多提示为永久性损伤,有时尽管也是可逆的。
约有 50% 的病例病变是双侧的。
增强后强化很少见,但可见于严重的病例中。
大多数影像学异常表现通常在 15~150 天恢复。
参考文献
1. Cianfoni A, Caulo M, Cerase A, et al. Seizure-induced brain lesions: A wide spectrum of variably reversible MRI abnormalities. Eur J Radiol. 2013;82(11):1964-1972.
2. Katramados AM, Burdette D, Patel SC, Schultz LR, Gaddam S, Mitsias PD. Periictal diffusion abnormalities of the thalamus in partial status epilepticus. Epilepsia. 2009; 50(2):265-275.
3. Kim JA, Chung JI, Yoon PH, et al. Transient MR signal changes in patients with generalized tonicoclonic seizure or status epilepticus: Periictal diffusion-weighted imaging. AJNR Am J Neuroradiol. 2001;22(6):1149-1160.
本网站所有注明"来源:丁香园"的文字、图片和音视频资料,版权均属于丁香园所有,非经授权,任何媒体、网站或个人不得转载,授权转载时须注明"来源:丁香园"。本网所有转载文章系出于传递更多信息之目的,且明确注明来源和作者,不希望被转载的媒体或个人可与我们联系,我们将立即进行删除处理。
- 【明日前瞻】哈登与韦少巅峰对决 浓眉率队挑战死神杜
- 桂林妹纸喜大普奔!男性避孕药来了!以后避孕就靠男人了……
- 妹子在上海市中心被人威胁,身边男性朋友的反应让她心寒!
- 看片 | 为什么女性比男性更爱翻白眼,因为她们根本控制不住自己
- 2018南京国际越野跑挑战赛
- 切阳什姐夺得国际田联竞走挑战赛葡萄牙站比赛冠军
- 抖音吃货又出新花头!某玩法成功拯救一大批单身狗,请你接受挑战!
- 文康行长群“爱我中华”拼图挑战赛
- 商周特写 | 美国密苏里州38岁帅气检察长挑战谷歌
- 【预告+转播】哈登VS威少约战休城!浓眉背靠背挑战勇士!