症状性癫痫常见 6 大病因的影像学表现
傻大方提示您本文标题是:《症状性癫痫常见 6 大病因的影像学表现》。来源是丁香园。
症状性癫痫常见 6 大病因的影像学表现。影像学|海马|皮质---
癫痫是一种由多种病因引起的慢性脑部疾病,以脑神经元过度放电导致反复性、发作性和短暂性的中枢神经系统功能失常为特征,为神经系统常见疾病之一,就发病率而言,仅次于脑卒中。症状性癫痫又称继发性癫痫或获得性癫痫,癫痫发作只是脑部疾病或全身性疾病的一个症状。症状性癫痫的病因很复杂,且不同年龄病因构成存在较大差异(表)。头颅 MRI(特别是高分辨 3T MRI)是发现致痫灶的重要手段,可为进一步明确癫痫病因打下基础。让我们一起来回顾下症状性癫痫常见病因的影像学表现。
表 1 癫痫患者不同年龄组常见病因
影像学|海马|皮质---傻大方小编总结的关键词

一、海马硬化
颞叶癫痫伴海马硬化(HS)是颞叶癫痫的常见类型,占颞叶癫痫的 70%~80%,也是成人药物难治性癫痫的最常见的类型,其手术治疗的效果也比较好。海马硬化典型的病理学改变为海马神经元细胞丢失伴不同程度的胶质细胞增生。常见病因包括热性惊厥、癫痫持续状态、外伤、感染等。
海马硬化的典型 MRI 特征为海马体积缩小,T2/FLAIR 信号增高和海马内部结构模糊,可伴有同侧的侧脑室颞角扩大、颞叶萎缩等。在颞叶癫痫伴海马硬化的患者 MRI 上常可出现同侧颞极的灰白质异常(「颞极模糊」),在 MRI 上表现为灰质与白质分界不清及 T2 高信号。需与单纯的海马萎缩、海马旋转不良相鉴别。海马旋转不良指单侧的海马旋转不完全,其形态异常,但内部结构混乱,但海马体积和信号正常。
影像学|海马|皮质---傻大方小编总结的关键词

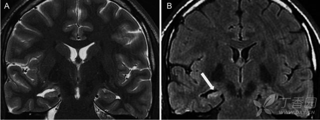
图 1:31 岁难治性癫痫伴右侧海马硬化男性患者;A:T2WI;B:FLAIR;可见右侧海马高信号伴萎缩
二、局灶性皮质发育不良
局灶性脑皮质发育不良(FCD)是由脑皮质神经元移行障碍或细胞增殖障碍所导致的一种疾病,是皮质发育畸形的一种,是导致难治性癫痫的最常见病因之一。在癫痫外科中,FCD 约占儿童癫痫手术患者的 40%~50%,占成人癫痫手术患者的 20% 左右。FCD 可以发生于大脑的任何部位,但约半数位于颞叶。
MRI 主要表现为局灶性皮质增厚,灰、白质分界模糊,白质异常信号,脑回形态异常,脑回白质萎缩,脑叶发育不全,邻近蛛网膜下腔扩大。FLAIR 及 T2WI 序列较为敏感,常表现为灰白质界限不清和皮质下白质高信号,可见病灶沿一个脑回的冠或脑沟的底向脑室延伸并逐渐变细,有学者将此现象命名为 Transmantle 征,常见于 FCD II 型。
影像学|海马|皮质---傻大方小编总结的关键词

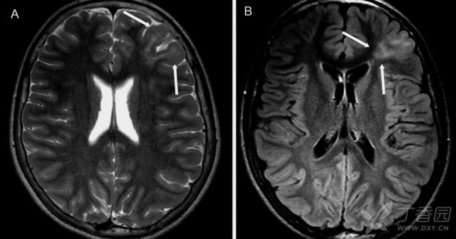
图 2:34 岁 FCD 女性患者可见 Transmantle 征;A:T2WI 可见右侧额叶局部信号增高伴皮层增厚,灰白质界限不清;B:FLAIR 上可见条带状异常高信号从皮质延伸至侧脑室
三、结节性硬化症
结节性硬化症(TSC)是一种以多器官组织缺陷和错构瘤为特征的系统性疾病,呈常染色体显性遗传,致病基因为 TSC1 和 TSC2。临床主要表现为癫痫、智力低下和颜面部皮脂腺瘤三联征。
影像学上可表现为室管膜下多发结节(90%),皮质及皮质下结节(70%),脑白质异常信号和室管膜下巨细胞星形细胞瘤。室管膜下多发结节常发生于尾状核的表面,位于室管膜下,呈对称或不对称分布。T1WI 多呈等或稍高信号;T2WI 及 FLAIR 呈高信号,钙化则成低信号。增强扫描结节多强化。CT 可见典型「烛泪征」。皮质及皮质下结节 T1WI 可见结节样增厚的脑回,呈稍低信号;T2WI/FLAIR 呈高信号。增强多不强化。脑白质异常典型者可表现为「辐射带征」,即从脑室或脑室旁白质延伸至正常皮层或皮层下结节。室管膜下巨细胞星形细胞瘤为较罕见的中枢神经系统肿瘤。T1WI 呈等信号或低信号,T2WI 呈轻度至明显高信号,钙化区呈低信号。增强扫描瘤体呈明显均匀强化。可出现一侧或双侧脑室积水。
影像学|海马|皮质---傻大方小编总结的关键词

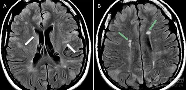
图 3:21 岁难治性癫痫伴结节性硬化症女性患者;A:FLAIR 可见高信号皮质结节伴条带状异常信号,从皮质延伸至侧脑室;B:FLAIR 可见多发高信号室管膜下结节
影像学|海马|皮质---傻大方小编总结的关键词

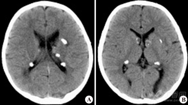
图 4:CT 烛泪征,即沿侧脑室的钙化灶
影像学|海马|皮质---傻大方小编总结的关键词

图 5:室管膜下巨细胞星形细胞瘤;A:T1WI;B:T1 增强
四、脑肿瘤
原发性脑肿瘤是局灶性癫痫的常见病因,在成人新发癫痫中约占 5%,而 10% 以上的有灶性癫痫患者为脑肿瘤所致。
导致癫痫发作的脑肿瘤可大致分为两类:
一种为中枢神经系统常见肿瘤(如高级别胶质瘤等),其病史较短,肿瘤生长迅速,侵袭性明显,早期即可出现神经系统症状及定位体征,而癫痫往往不是其主要表现,影像学可见明显的占位效应及瘤周水肿,手术后常需进一步放化疗;
另一部分特殊的脑肿瘤,即癫痫相关脑肿瘤,一般生长缓慢,临床病史较长,以癫痫(绝大多数为药物难治性)为主要甚至唯一临床表现,影像学见可见病灶多数位于皮质或灰白质交界处,边界相对较清楚,少见弥漫浸润的征象,部分肿瘤可见囊变和钙化,注射对比剂后常不强化或轻度强化。可同时合并 FCD 以及海马硬化等,WHO 分级多为 I~II 级,手术切除后多可治愈。
影像学|海马|皮质---傻大方小编总结的关键词

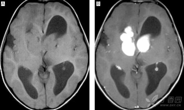
图 6:45 岁男性难治性癫痫伴节细胞胶质瘤患者;A:T2WI;B:T1 增强;可见左侧颞叶内侧面囊实性病灶伴强化
五、海绵状血管瘤
颅内海绵状血管瘤属(CCM)先天性脑血管畸形的一种,可发生于脑内任何部位,但幕上多见,任何年龄段均可发生,25% 发生在儿童。40%~60% CCM 患者有家族遗传倾向,且为多发病灶,为常染色体显性遗传。CCM 主要临床症状为癫痫及局灶性神经功能障碍、头痛,幕上病变大多数表现为癫痫发作,头痛亦多见,幕下病灶大多表现为局灶性神经功能障碍,普遍认为 CCM 反复出血引起临床症状。
不同时期的脑海绵状血管瘤在核磁上表现不同,依据磁共振成像特征将脑海绵状血管瘤分为 4 种类型:
I 型 T1WI 病灶的中心呈高信号,T2WI 呈等、高信号,相当于亚急性出血期;
II 型 T1 和 T2 病灶中心呈网状混杂,周围有低信号环,呈「爆米花」的外观,相当于病灶反复出血、血栓形成期;这是海绵状血管瘤的典型表现;
III 型病变,通常见于家族性病变,T1WI 及 T2WI 均呈等或低信号,相当于慢性出血期;
IV 型病变在常规 T1WI 与 T2WI 序列难以显示,由于病变小属于毛细血管扩张期,磁共振梯度回波序列及磁敏感加权成像的磁敏感序列可能是更好的选择。
影像学|海马|皮质---傻大方小编总结的关键词

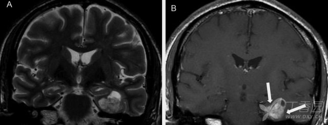
图 7:36 岁难治性癫痫伴家族性脑海绵状血管瘤女性患者;A:T2WI 可见 II 型海绵状血管瘤,呈混杂信号伴含铁血黄素环;B:T2*可见右侧颞叶 4 型海绵状血管瘤
六、其他
包括缺血缺氧性脑病,脑外伤,中枢神经系统感染(病毒、细菌、真菌和寄生虫等),自身免疫性疾病,先天遗传代谢性疾病等均可导致症状性癫痫。
这里提一下 Rasmussen 脑炎,其为罕见的神经系统慢性疾病,又称为 Rasmussen 综合征。该病多起源于儿童期,常累及一侧大脑半球,主要以药物难治性癫痫、部分性癫痫持续状态、进展性神经功能缺损(言语、运动及认知功能障碍等)为主要特点。
其特征性 MRI 表现为单侧脑沟、脑回及侧脑室扩大,皮层及皮层下脑白质在 T2/FLAIR 上高信号,基底节尾状核头部轻、重度萎缩。通常,急性期 MRI 显示单侧半球萎缩,最先由颞叶岛盖开始,伴有颞角萎缩,侧裂扩大。皮质萎缩常在单侧额岛叶进行性发展,通常累及额叶、岛叶、额岛叶、额颞岛叶、顶颞岛叶和额顶-枕岛叶。
影像学|海马|皮质---傻大方小编总结的关键词

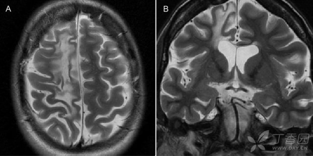
图 8:活检证实的 37 岁难治性部分性运动性癫痫伴 Rasmussen 脑炎女性患者;A~B:T2WI 可见右侧额叶萎缩和胶质增生
参考文献
1. Abud LG, Thivard L, Abud TG, Nakiri GS, Santos AC, Dormont D.Partial epilepsy: A pictorial review of 3 TESLA magnetic resonance imaging features.Clinics (Sao Paulo). 2015 Sep;70(9):654-61.
2. Toledo M, Sarria-Estrada S, Quintana M, Auger C, Salas-Puig X, Santamarina E, Vert C, Rovira A.3 TESLA MR imaging in adults with focal onset epilepsy.Clin Neurol Neurosurg. 2013 Oct;115(10):2111-6.
3. Battal B, Ince S, Akgun V, Kocaoglu M, Ozcan E, Tasar M.Malformations of cortical development: 3T magnetic resonance imaging features.World J Radiol. 2015 Oct 28;7(10):329-35.
4. 中国抗癫痫协会. 临床诊疗指南癫痫病分册. 人民卫生出版社.2015 年修订版.
5. 周永吉, 朱露佳, 王爽. 颞叶癫痫伴随海马硬化的研究进展. 中华神经科杂志.2016;49(3):255-7.
6. 孙恒, 郝玉军. 局灶性脑皮质发育不良与难治性癫痫的研究进展. 中华神经外科杂志.2015;31(11):1186-8.
7. von Ranke FM, Faria IM, Zanetti G, Hochhegger B, Souza AS Jr, Marchiori E.Imaging of tuberous sclerosis complex: a pictorial review.Radiol Bras. 2017 Jan-Feb;50(1):48-54.
8. Grajkowska W, Kotulska K, Jurkiewicz E, Matyja E.Brain lesions in tuberous sclerosis complex. Review.Folia Neuropathol. 2010;48(3):139-49.
9. 何占彪, 王宏伟. 脑内海绵状血管瘤的影像学诊断特点及治疗选择. 中华神经外科疾病研究杂志.2016;15(4):378-80.
10. 黄亚莉, 任惠.Rasmussen 脑炎的研究进展. 癫痫杂志.2017;3(3):234-6.
本网站所有注明"来源:丁香园"的文字、图片和音视频资料,版权均属于丁香园所有,非经授权,任何媒体、网站或个人不得转载,授权转载时须注明"来源:丁香园"。本网所有转载文章系出于传递更多信息之目的,且明确注明来源和作者,不希望被转载的媒体或个人可与我们联系,我们将立即进行删除处理。
- 婴儿直肠息肉症状
- 常见交通违法处罚细则,罚款扣分一目了然
- 以前农村常见的手艺,会的如今都快老了
- 北方街头常见的美食小吃,吃了以后全身暖暖的
- 健身手臂练不出来?这些常见肱二头肌训练误区,你犯了多少?
- 走在平壤大街上,这三样东西很常见,而这三样东西很少见!
- 会计银行存款日记账常见错误
- 45人死亡!安徽计委最新发布!近期出现这些症状的要当心!
- 胃癌与胃炎症状一样吗?饮食有节可预防
- 12个症状判断自己气血足不足,及对症的食疗方法
